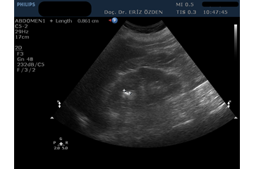
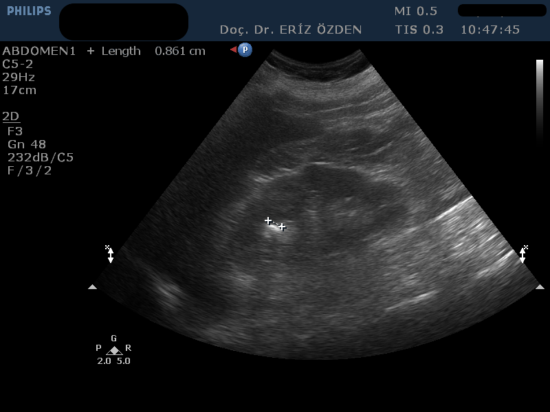
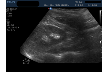
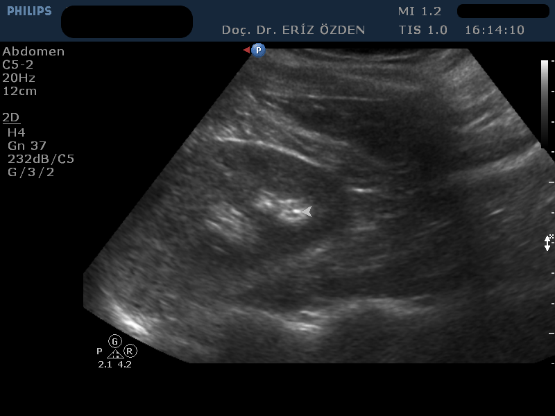
Böbrek Taşı Nasıl Tespit Edilir? Böbrek taşı ağrısı, tıpta bilinen en şiddetli ağrılardan birisidir. Genelde böbrek içinde sabit duran taşlar şiddetli ağrıya neden olmaz. Ancak taş böbrekten çıkıp, üreter adı verilen idrar kanalına girdiğinde şiddetli ağrı başlar. Kolik ağrısı denilen bu durumda ağrıyla birlikte bulantı, kusma gibi bulgular ve idrarda kan da görülebilir. Ayırıcı tanı öncelikle görüntüleme yöntemleriyle yapılır. Ağrının kaynağı idrar yollarındaki taş mı, taş varsa yeri neresi ve büyüklüğü nedir sorularının cevapları tedavide çok önemlidir. Bu bilgiler düz röntgen filmi, Bilgisayarlı Tomografi ya da Ultrason ile elde edilir. Böbrek taşlarının hepsi röntgen filminde görülmez. Bu tip taşlar kimyasal içerikleri nedeniyle röntgen ışınlarına geçirgendirler ve filmde hiç görülmezler. Direk röntgen filminin diğer bir dezavantajı ise hastanın az da olsa zararlı iyonize radyasyona maruz kalmasıdır. Ultrason ise hiç zararlı radyasyon içermeyen bir yöntemdir ve kimyasal içeriğinden bağımsız olarak hemen tüm böbrek taşları görülebilir. Ultrasonla izlenemeyen böbrek taşları boyutu 2 mm’den küçük olanlardır. Bunlar kristaloid odağı ya da kum olarak adlandırılır ve ancak idrar tahlillerinde mikroskop incelemesinde görülür. Böbrekten çıkıp kanala giren taşlarda ultrasonla hem taşı, hem de röntgende görülemeyen idrar kanalı genişlemelerini izleyebiliriz. Böylece, düşmesi geciken taşlarda, böbreğin durumuna göre ne kadar bekleneceğine karar verilebilir. Ultrasonun tek dezavantajı, bağırsak gazı çok yoğun olan hastalarda, kanal içindeki taşları görmenin zorluğudur. Üreter adını verdiğimiz kanalın içindeki taşlar, bağırsak gazlarının arkasında kaldıysa, ultrasonla görülemeyebilir. Uluslararası çalışmalarda üreter taşlarının ultrasonla görülebilme oranı %50 olarak bildirilmektedir. Ancak, ultrasonu yapan doktorun tecrübesi ve uzun zaman ayırarak sabırla taşı araması, kanaldaki taşların görülme oranını ciddi anlamda yükseltmektedir.
Üreter taşlarını en net gösteren yöntem ise Bilgisayarlı Tomografidir (BT). Hemen hemen tüm üreter taşları BT ile izlenebilir. Ancak tomografi çekimi sırasında hasta düz röntgen filminden daha da yüksek oranda zararlı radyasyon alacaktır. Bu yüzden, böbrek taşı ve üreter taşı varlığından şüphelenilen hastalarda ilk olarak Ultrason incelemesi yapılması, eğer taş ultrasonla görülemiyor ise düz röntgen filmi ya da BT’nin tercih edilmesi önerilmektedir.
 
                                 
                        