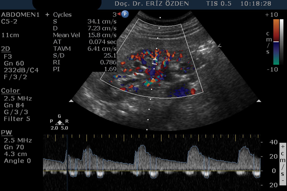
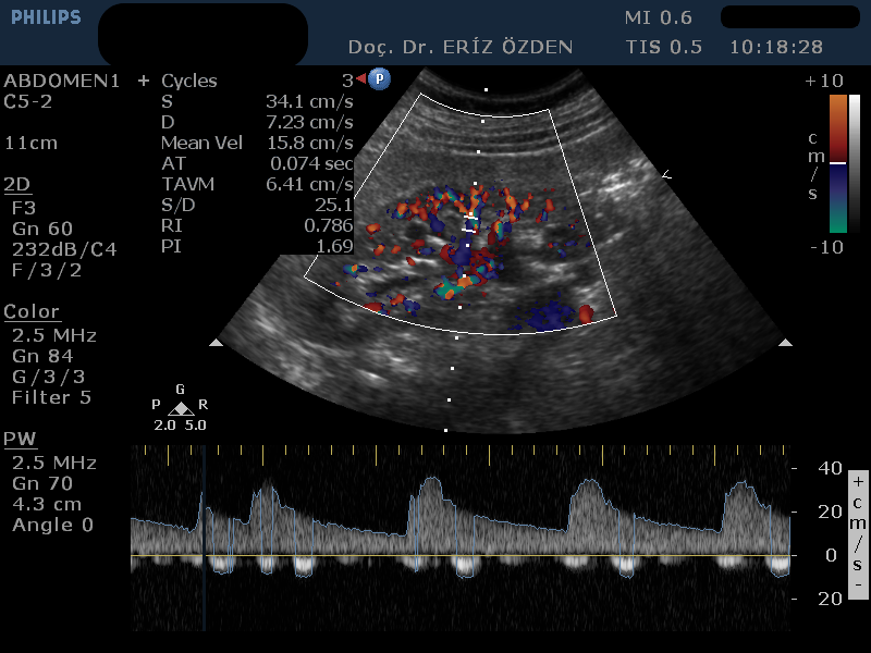
Böbreğe giden atardamarlarda darlık olması durumunda, tansiyon yüksekliği (hipertansiyon) ortaya çıkabilir. Böbrek damarlarının ayrıntılı incelenmesi, darlıkların, tıkanıkların saptanması, böbrek kanlanması hakkında bilgi edinilmesi için Renkli Doppler Ultrason kullanılır. İnceleme sırasında bağırsak gazları görüntüyü bozabileceğinden, hastanın aç olarak gelmesi gereklidir.
 
                                 
                            