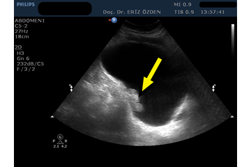
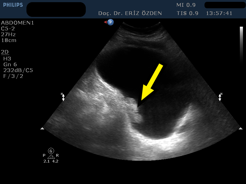
İdrarda kan görülmesi: İdrarda kan görülmesi, yapılan idrar tahlilinde kan hücrelerinin saptanması (mikrohematüri) ya da gözle görülebilir bir kan olması (makrohematüri) olarak ikiye ayrılabilir. Kan sulandırıcı kullanan hastalarda, idrar yolu enfeksiyonlarında, prostat büyümelerinde, böbrek ve idrar yolundaki taşlarda veya mesane tümörlerinde idrarda kan görülebilir. Bunlar hakkındaki ayırıcı tanı için Üroloji doktorunuz sizi muayene edecek ve idrar tahlilinizi ayrıntılı olarak değerlendirecektir. Eğer kanama mesane tümörü şüphesi uyandırıyorsa, ilk yapılacak görüntüleme tetkiki ultrasondur. Özellikle gözle görülecek miktarda, tekrarlayan, ağrısız ve/veya pıhtılı kanamalar mesane tümörü şüphesi yaratmaktadır. Ultrason incelemesi ile mesane içindeki taş, pıhtı veya tümörler görülür. Ultrason canlı görüntü veren bir yöntem olduğunda, hasta yan çevrilerek mesane içindeki oluşumun hareket edip etmediği görülür ve bu sayede mesane tümörü tanısı daha net konulur. Ultrason 5 mm’den küçük mesane tümörlerini gösteremeyebilir. Bu yüzden, Üroloji doktorunuz gerek duyarsa sistoskopi adı verilen yöntemle, idrar kanalından mesane içine girerek bir kamera yardımıyla inceleme yapar.
 
                                